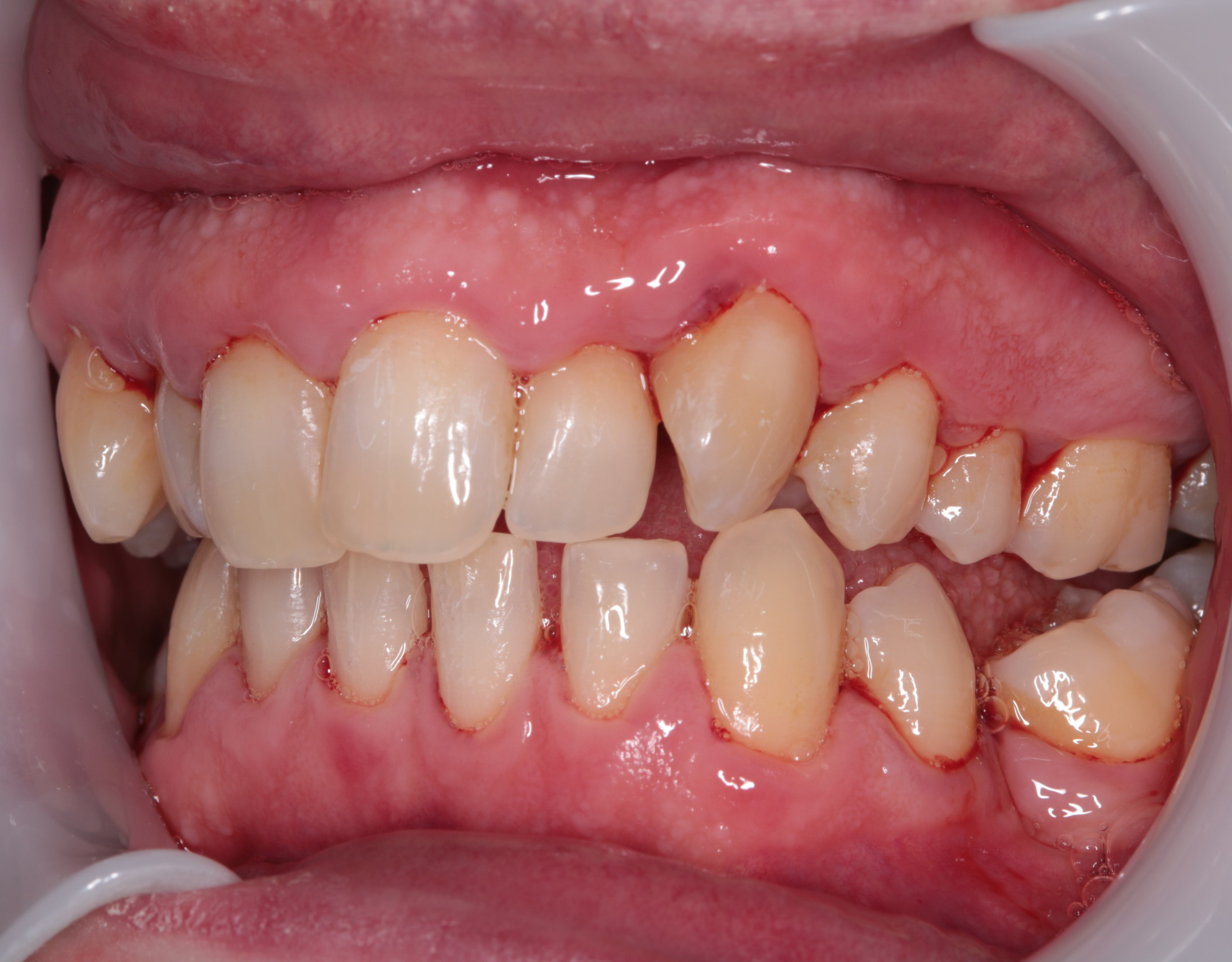
Post Scaling Sensitivity . Potential toothache, including oral pain or sensitivity, occurred within the first week of the initial chip placement after scaling and root planing. This can be managed by using desensitizing. sensitivity is a common occurrence after scaling and root planing, primarily due to the exposure of tooth roots during the. after scaling your teeth, it is common to experience tooth sensitivity. brushing two to three times daily with sensitivity toothpaste (crest for sensitive teeth® or sensodyne®) will reduce cold. your teeth may be sensitive to extreme temperature and sweets. Stick with warm meals and drinks until the sensitivity.
from leeannbrady.com
This can be managed by using desensitizing. Stick with warm meals and drinks until the sensitivity. your teeth may be sensitive to extreme temperature and sweets. brushing two to three times daily with sensitivity toothpaste (crest for sensitive teeth® or sensodyne®) will reduce cold. sensitivity is a common occurrence after scaling and root planing, primarily due to the exposure of tooth roots during the. after scaling your teeth, it is common to experience tooth sensitivity. Potential toothache, including oral pain or sensitivity, occurred within the first week of the initial chip placement after scaling and root planing.
Posterior Composite Post Op Sensitivity Lee Ann Brady DMD
Post Scaling Sensitivity Potential toothache, including oral pain or sensitivity, occurred within the first week of the initial chip placement after scaling and root planing. Potential toothache, including oral pain or sensitivity, occurred within the first week of the initial chip placement after scaling and root planing. This can be managed by using desensitizing. Stick with warm meals and drinks until the sensitivity. after scaling your teeth, it is common to experience tooth sensitivity. sensitivity is a common occurrence after scaling and root planing, primarily due to the exposure of tooth roots during the. your teeth may be sensitive to extreme temperature and sweets. brushing two to three times daily with sensitivity toothpaste (crest for sensitive teeth® or sensodyne®) will reduce cold.
From www.slideserve.com
PPT Periodontal Diagnoses and Treatment Planning PowerPoint Post Scaling Sensitivity sensitivity is a common occurrence after scaling and root planing, primarily due to the exposure of tooth roots during the. your teeth may be sensitive to extreme temperature and sweets. Potential toothache, including oral pain or sensitivity, occurred within the first week of the initial chip placement after scaling and root planing. Stick with warm meals and drinks. Post Scaling Sensitivity.
From www.directorioodontologico.info
What to do after a deep cleaning (scaling) Directorio Odontológico Post Scaling Sensitivity Potential toothache, including oral pain or sensitivity, occurred within the first week of the initial chip placement after scaling and root planing. Stick with warm meals and drinks until the sensitivity. after scaling your teeth, it is common to experience tooth sensitivity. your teeth may be sensitive to extreme temperature and sweets. sensitivity is a common occurrence. Post Scaling Sensitivity.
From biomin.co.uk
BioMin® F your perfect clinical partner Post Scaling Sensitivity Potential toothache, including oral pain or sensitivity, occurred within the first week of the initial chip placement after scaling and root planing. Stick with warm meals and drinks until the sensitivity. after scaling your teeth, it is common to experience tooth sensitivity. sensitivity is a common occurrence after scaling and root planing, primarily due to the exposure of. Post Scaling Sensitivity.
From www.trycare.co.uk
Dental News Trycare Post Scaling Sensitivity after scaling your teeth, it is common to experience tooth sensitivity. your teeth may be sensitive to extreme temperature and sweets. Potential toothache, including oral pain or sensitivity, occurred within the first week of the initial chip placement after scaling and root planing. This can be managed by using desensitizing. Stick with warm meals and drinks until the. Post Scaling Sensitivity.
From drpriyanka.com
Teeth Scaling And Polishing Know Before Your Appointment Dental Post Scaling Sensitivity sensitivity is a common occurrence after scaling and root planing, primarily due to the exposure of tooth roots during the. Potential toothache, including oral pain or sensitivity, occurred within the first week of the initial chip placement after scaling and root planing. This can be managed by using desensitizing. Stick with warm meals and drinks until the sensitivity. . Post Scaling Sensitivity.
From abqdental.com
Scaling and Root Planing PostOp Instructions ABQ Dental Associates Post Scaling Sensitivity sensitivity is a common occurrence after scaling and root planing, primarily due to the exposure of tooth roots during the. after scaling your teeth, it is common to experience tooth sensitivity. your teeth may be sensitive to extreme temperature and sweets. Potential toothache, including oral pain or sensitivity, occurred within the first week of the initial chip. Post Scaling Sensitivity.
From www.youtube.com
Post scaling instructions/ Do's & Don'ts after scaling of teeth/स्केलिङ Post Scaling Sensitivity brushing two to three times daily with sensitivity toothpaste (crest for sensitive teeth® or sensodyne®) will reduce cold. sensitivity is a common occurrence after scaling and root planing, primarily due to the exposure of tooth roots during the. Stick with warm meals and drinks until the sensitivity. This can be managed by using desensitizing. your teeth may. Post Scaling Sensitivity.
From www.youtube.com
Post operative instructions after scaling Cleaning of Teeth oral Post Scaling Sensitivity after scaling your teeth, it is common to experience tooth sensitivity. your teeth may be sensitive to extreme temperature and sweets. Stick with warm meals and drinks until the sensitivity. Potential toothache, including oral pain or sensitivity, occurred within the first week of the initial chip placement after scaling and root planing. sensitivity is a common occurrence. Post Scaling Sensitivity.
From saveasmile.com.my
Scaling and root planing Save A Smile Dental Clinic Post Scaling Sensitivity brushing two to three times daily with sensitivity toothpaste (crest for sensitive teeth® or sensodyne®) will reduce cold. sensitivity is a common occurrence after scaling and root planing, primarily due to the exposure of tooth roots during the. after scaling your teeth, it is common to experience tooth sensitivity. your teeth may be sensitive to extreme. Post Scaling Sensitivity.
From www.studypool.com
SOLUTION Scaling and Sensitivity Studypool Post Scaling Sensitivity Stick with warm meals and drinks until the sensitivity. brushing two to three times daily with sensitivity toothpaste (crest for sensitive teeth® or sensodyne®) will reduce cold. your teeth may be sensitive to extreme temperature and sweets. sensitivity is a common occurrence after scaling and root planing, primarily due to the exposure of tooth roots during the.. Post Scaling Sensitivity.
From www.dentsplysirona.com
PostOp Sensitivity after Composite Fillings Dentsply Sirona USA Post Scaling Sensitivity Stick with warm meals and drinks until the sensitivity. This can be managed by using desensitizing. Potential toothache, including oral pain or sensitivity, occurred within the first week of the initial chip placement after scaling and root planing. after scaling your teeth, it is common to experience tooth sensitivity. brushing two to three times daily with sensitivity toothpaste. Post Scaling Sensitivity.
From dentalclinicchandigarh.com
Scaling and Polishing Post Scaling Sensitivity Potential toothache, including oral pain or sensitivity, occurred within the first week of the initial chip placement after scaling and root planing. This can be managed by using desensitizing. your teeth may be sensitive to extreme temperature and sweets. brushing two to three times daily with sensitivity toothpaste (crest for sensitive teeth® or sensodyne®) will reduce cold. Stick. Post Scaling Sensitivity.
From anwaarbawani.medium.com
How To Reduce PostScaling Sensitivity by anwaar bawani Medium Post Scaling Sensitivity after scaling your teeth, it is common to experience tooth sensitivity. brushing two to three times daily with sensitivity toothpaste (crest for sensitive teeth® or sensodyne®) will reduce cold. This can be managed by using desensitizing. your teeth may be sensitive to extreme temperature and sweets. sensitivity is a common occurrence after scaling and root planing,. Post Scaling Sensitivity.
From dimensionsofdentalhygiene.com
How to Avoid Postop Sensitivity in Adhesive Dentistry Dimensions of Post Scaling Sensitivity after scaling your teeth, it is common to experience tooth sensitivity. sensitivity is a common occurrence after scaling and root planing, primarily due to the exposure of tooth roots during the. your teeth may be sensitive to extreme temperature and sweets. Stick with warm meals and drinks until the sensitivity. Potential toothache, including oral pain or sensitivity,. Post Scaling Sensitivity.
From www.dental-tribune.com
Getting to grips with general dental practitioner orthodontics Post Scaling Sensitivity Potential toothache, including oral pain or sensitivity, occurred within the first week of the initial chip placement after scaling and root planing. brushing two to three times daily with sensitivity toothpaste (crest for sensitive teeth® or sensodyne®) will reduce cold. This can be managed by using desensitizing. sensitivity is a common occurrence after scaling and root planing, primarily. Post Scaling Sensitivity.
From www.pinterest.es
Escamas de dientes,Descamación dental antes y después Higienista Post Scaling Sensitivity Potential toothache, including oral pain or sensitivity, occurred within the first week of the initial chip placement after scaling and root planing. your teeth may be sensitive to extreme temperature and sweets. Stick with warm meals and drinks until the sensitivity. This can be managed by using desensitizing. sensitivity is a common occurrence after scaling and root planing,. Post Scaling Sensitivity.
From www.youtube.com
PostOperative Instructions for Scaling and Root Planing YouTube Post Scaling Sensitivity brushing two to three times daily with sensitivity toothpaste (crest for sensitive teeth® or sensodyne®) will reduce cold. after scaling your teeth, it is common to experience tooth sensitivity. This can be managed by using desensitizing. your teeth may be sensitive to extreme temperature and sweets. sensitivity is a common occurrence after scaling and root planing,. Post Scaling Sensitivity.
From www.hygieneedge.com
The Importance of SRP Post OP Instructions — Hygiene Edge Post Scaling Sensitivity Potential toothache, including oral pain or sensitivity, occurred within the first week of the initial chip placement after scaling and root planing. brushing two to three times daily with sensitivity toothpaste (crest for sensitive teeth® or sensodyne®) will reduce cold. your teeth may be sensitive to extreme temperature and sweets. This can be managed by using desensitizing. . Post Scaling Sensitivity.